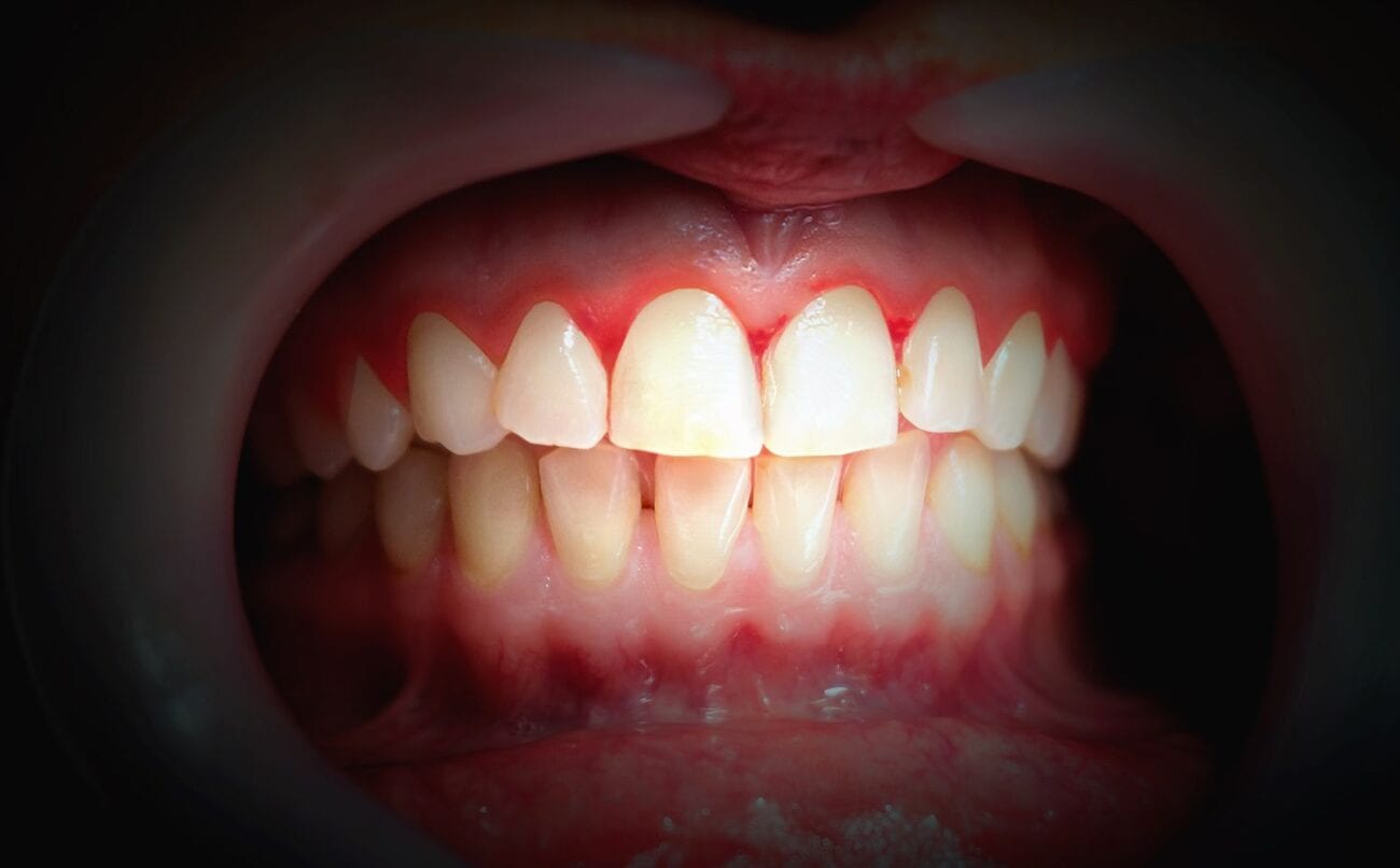
Gums Bleeding Profusely . gingivitis is a common but mild form of gum disease, the first sign of which is often bleeding gums. people can usually treat minor gum bleeding at home using good oral hygiene and natural remedies. Left untreated, it can progress to a more. bleeding gums can occur for several reasons: many home remedies and lifestyle habits can help prevent or ease bleeding gums. 1 symptom of gingivitis and other forms of gum disease. bleeding gums are the no. Brushing too vigorously or flossing when you haven't flossed in a while can also cause the gums to bleed. Some ways to help stop. Gum disease, injury, pregnancy, and some health conditions. But bleeding from your gums can also. In this article, we look at 12 ways to stop.
from dxomnnhbs.blob.core.windows.net
Some ways to help stop. many home remedies and lifestyle habits can help prevent or ease bleeding gums. people can usually treat minor gum bleeding at home using good oral hygiene and natural remedies. But bleeding from your gums can also. Gum disease, injury, pregnancy, and some health conditions. bleeding gums can occur for several reasons: 1 symptom of gingivitis and other forms of gum disease. gingivitis is a common but mild form of gum disease, the first sign of which is often bleeding gums. bleeding gums are the no. Brushing too vigorously or flossing when you haven't flossed in a while can also cause the gums to bleed.
Why Does My Breath Smell And Gums Bleed at Philip Banning blog
Gums Bleeding Profusely gingivitis is a common but mild form of gum disease, the first sign of which is often bleeding gums. Gum disease, injury, pregnancy, and some health conditions. Some ways to help stop. people can usually treat minor gum bleeding at home using good oral hygiene and natural remedies. bleeding gums are the no. In this article, we look at 12 ways to stop. 1 symptom of gingivitis and other forms of gum disease. bleeding gums can occur for several reasons: many home remedies and lifestyle habits can help prevent or ease bleeding gums. Left untreated, it can progress to a more. But bleeding from your gums can also. Brushing too vigorously or flossing when you haven't flossed in a while can also cause the gums to bleed. gingivitis is a common but mild form of gum disease, the first sign of which is often bleeding gums.
From expressdentist.com
Bleeding Gums Causes and Home Remedies Express Dentist Gums Bleeding Profusely people can usually treat minor gum bleeding at home using good oral hygiene and natural remedies. But bleeding from your gums can also. many home remedies and lifestyle habits can help prevent or ease bleeding gums. bleeding gums are the no. gingivitis is a common but mild form of gum disease, the first sign of which. Gums Bleeding Profusely.
From drkorwin.com
5 Things You Can Do If Your Gums Are Bleeding Top Dentist Gums Bleeding Profusely Gum disease, injury, pregnancy, and some health conditions. bleeding gums are the no. Some ways to help stop. gingivitis is a common but mild form of gum disease, the first sign of which is often bleeding gums. bleeding gums can occur for several reasons: In this article, we look at 12 ways to stop. Brushing too vigorously. Gums Bleeding Profusely.
From thediamonddentalcare.com
Why Are My Gums Bleeding? Diamond Dental Care Gums Bleeding Profusely 1 symptom of gingivitis and other forms of gum disease. bleeding gums are the no. many home remedies and lifestyle habits can help prevent or ease bleeding gums. people can usually treat minor gum bleeding at home using good oral hygiene and natural remedies. bleeding gums can occur for several reasons: In this article, we look. Gums Bleeding Profusely.
From www.miamiperiodontist.com
Bleeding Gums & Gum Disease Miami, FL Dr. Bradley Ross Gums Bleeding Profusely people can usually treat minor gum bleeding at home using good oral hygiene and natural remedies. Left untreated, it can progress to a more. Gum disease, injury, pregnancy, and some health conditions. many home remedies and lifestyle habits can help prevent or ease bleeding gums. Some ways to help stop. 1 symptom of gingivitis and other forms of. Gums Bleeding Profusely.
From www.reddit.com
Severe bleeding gums, should I see a dentist or a doctor? [WARNING Gums Bleeding Profusely Some ways to help stop. 1 symptom of gingivitis and other forms of gum disease. bleeding gums are the no. Brushing too vigorously or flossing when you haven't flossed in a while can also cause the gums to bleed. But bleeding from your gums can also. many home remedies and lifestyle habits can help prevent or ease bleeding. Gums Bleeding Profusely.
From smilescentre.co.uk
Why do my gums bleed? Gums Bleeding Profusely bleeding gums can occur for several reasons: Left untreated, it can progress to a more. 1 symptom of gingivitis and other forms of gum disease. Some ways to help stop. bleeding gums are the no. But bleeding from your gums can also. Gum disease, injury, pregnancy, and some health conditions. Brushing too vigorously or flossing when you haven't. Gums Bleeding Profusely.
From www.leahbutlerdds.com
How to Treat Gum Disease Dentists in Strongsville, OH Gums Bleeding Profusely people can usually treat minor gum bleeding at home using good oral hygiene and natural remedies. Some ways to help stop. Left untreated, it can progress to a more. 1 symptom of gingivitis and other forms of gum disease. In this article, we look at 12 ways to stop. bleeding gums can occur for several reasons: bleeding. Gums Bleeding Profusely.
From monroefamilydentistrync.com
Monroe NC Dentist Explains About Gums Bleeding Gums Bleeding Profusely Some ways to help stop. But bleeding from your gums can also. Brushing too vigorously or flossing when you haven't flossed in a while can also cause the gums to bleed. Gum disease, injury, pregnancy, and some health conditions. gingivitis is a common but mild form of gum disease, the first sign of which is often bleeding gums. . Gums Bleeding Profusely.
From stock.adobe.com
The man has blood on his teeth, severe bleeding of the gums after a Gums Bleeding Profusely bleeding gums can occur for several reasons: people can usually treat minor gum bleeding at home using good oral hygiene and natural remedies. Some ways to help stop. Left untreated, it can progress to a more. But bleeding from your gums can also. gingivitis is a common but mild form of gum disease, the first sign of. Gums Bleeding Profusely.
From kumraortho.com
Why Gums Bleed When Flossing Causes and Remedies Kumra Orthodontics Gums Bleeding Profusely gingivitis is a common but mild form of gum disease, the first sign of which is often bleeding gums. Left untreated, it can progress to a more. In this article, we look at 12 ways to stop. But bleeding from your gums can also. bleeding gums are the no. 1 symptom of gingivitis and other forms of gum. Gums Bleeding Profusely.
From www.youtube.com
Bleeding Gums Causes & Treatment YouTube Gums Bleeding Profusely Gum disease, injury, pregnancy, and some health conditions. Left untreated, it can progress to a more. many home remedies and lifestyle habits can help prevent or ease bleeding gums. But bleeding from your gums can also. people can usually treat minor gum bleeding at home using good oral hygiene and natural remedies. bleeding gums are the no.. Gums Bleeding Profusely.
From www.reddit.com
Top right side of my gums and bottom front of my gums bleed profusely Gums Bleeding Profusely many home remedies and lifestyle habits can help prevent or ease bleeding gums. In this article, we look at 12 ways to stop. Brushing too vigorously or flossing when you haven't flossed in a while can also cause the gums to bleed. Gum disease, injury, pregnancy, and some health conditions. bleeding gums are the no. gingivitis is. Gums Bleeding Profusely.
From nobledentalcare.com
Signs You Need to Call an Emergency Dentist Tempe Dentist AZ 85283 Gums Bleeding Profusely many home remedies and lifestyle habits can help prevent or ease bleeding gums. Brushing too vigorously or flossing when you haven't flossed in a while can also cause the gums to bleed. bleeding gums are the no. Left untreated, it can progress to a more. gingivitis is a common but mild form of gum disease, the first. Gums Bleeding Profusely.
From www.pillardental.com
Causes of Bleeding Gums Sioux Falls, SD Pillar Dental Gums Bleeding Profusely Brushing too vigorously or flossing when you haven't flossed in a while can also cause the gums to bleed. many home remedies and lifestyle habits can help prevent or ease bleeding gums. Some ways to help stop. bleeding gums are the no. bleeding gums can occur for several reasons: 1 symptom of gingivitis and other forms of. Gums Bleeding Profusely.
From theelitedental.com
What Do You Do When Your Gums Are Bleeding Elite Dental Care Tracy Gums Bleeding Profusely Left untreated, it can progress to a more. Some ways to help stop. many home remedies and lifestyle habits can help prevent or ease bleeding gums. Gum disease, injury, pregnancy, and some health conditions. 1 symptom of gingivitis and other forms of gum disease. But bleeding from your gums can also. In this article, we look at 12 ways. Gums Bleeding Profusely.
From www.foxhallsmiles.com
Why are My Gums Bleeding? Dentist in Washington DC Gums Bleeding Profusely bleeding gums are the no. bleeding gums can occur for several reasons: Brushing too vigorously or flossing when you haven't flossed in a while can also cause the gums to bleed. Some ways to help stop. Left untreated, it can progress to a more. people can usually treat minor gum bleeding at home using good oral hygiene. Gums Bleeding Profusely.
From www.dreamstime.com
The Man Has Blood on His Teeth, Severe Bleeding of the Gums after a Gums Bleeding Profusely bleeding gums are the no. Some ways to help stop. gingivitis is a common but mild form of gum disease, the first sign of which is often bleeding gums. bleeding gums can occur for several reasons: people can usually treat minor gum bleeding at home using good oral hygiene and natural remedies. Left untreated, it can. Gums Bleeding Profusely.
From time.news
How dangerous is bleeding gums? TIme News Gums Bleeding Profusely bleeding gums are the no. people can usually treat minor gum bleeding at home using good oral hygiene and natural remedies. Brushing too vigorously or flossing when you haven't flossed in a while can also cause the gums to bleed. many home remedies and lifestyle habits can help prevent or ease bleeding gums. Gum disease, injury, pregnancy,. Gums Bleeding Profusely.